안녕하세요, CND 관리자입니다.
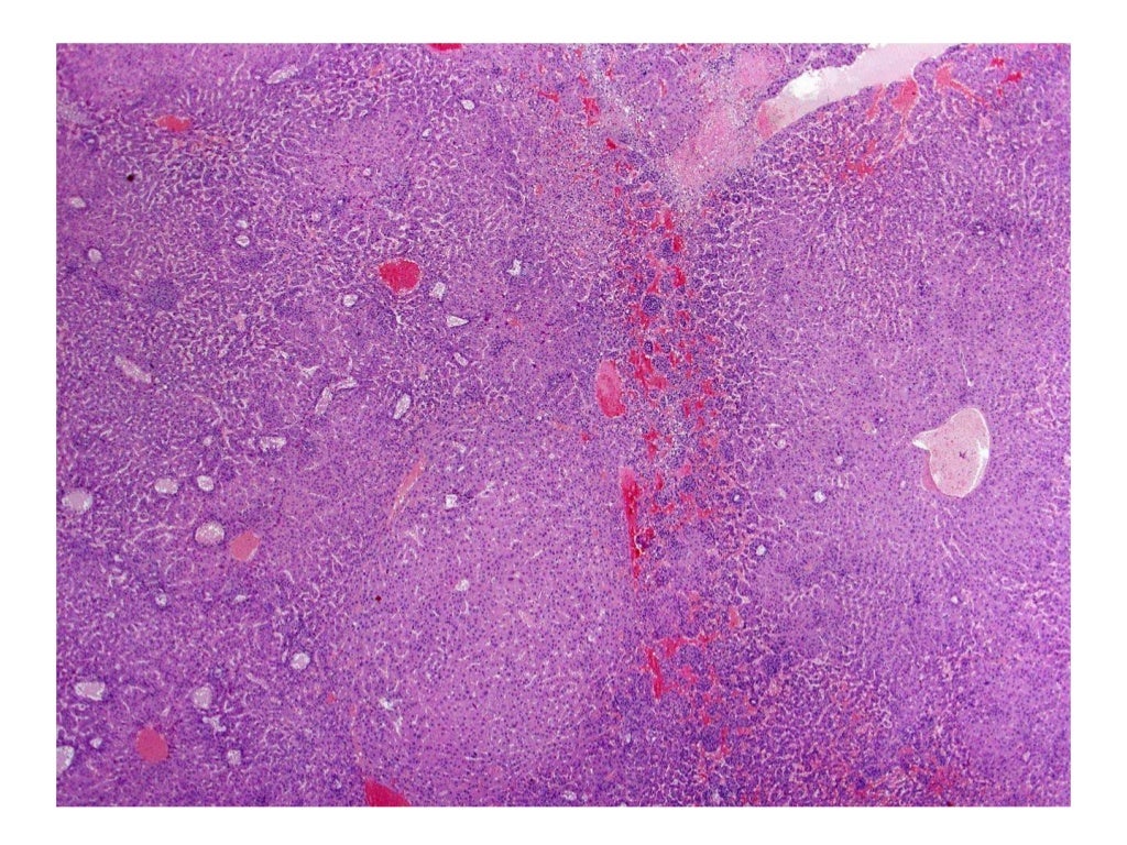
이번 공부거리는 Focus on Tox Path에 게시된 Xenonbiotic 유도 간 독성 병리에 관한 슬라이드 강의입니다.
이전에 게시해드린 전반적인 간 독성에 관한 강의과 연계하여 참고하시면 많은 도움이 될 것입니다.
아래 PDF 파일을 첨부하였습니다.
감사합니다.

출처: https://focusontoxpath.com/xenobiotic-induced-toxicologic-pathology-ofthe-liver/